診療科目 耳鼻咽喉科

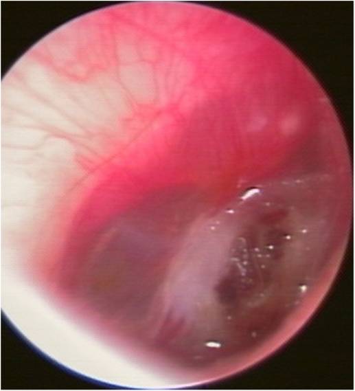
・外力により鼓膜に大きな力がかかり、鼓膜に穴が開いてしまった状態です。
疾患原因
・耳かきでつついた時の用に、直接、鼓膜に外力が及ぶ直達性損傷と、平手打ちなどで圧力がかかり間接的に穴があく、介達性損傷があります。
・直達性損傷は耳掃除中に多くみられます。親が子供の耳掃除をしていて、子供が動いたり、親が自分の耳掃除をしていて子供が当たった場合などに、耳かきで耳の奥を突いてしまい、鼓膜に穴が開いてしまいます。
・耳に火花や化学薬品が入り、やけどをして鼓膜に穴があくことがありますが、この場合は治りにくいと言われています。
・介達性損傷はケンカなどで耳を平手打ちされたときによく見られ、スポーツや爆発でも起こります。
・鼓膜に穴があくと難聴、耳痛、出血などが生じ、内耳障害を合併すると耳鳴、めまいなども起こします。
・耳内を清拭し、感染予防のため抗生剤投与を数日行います。
症状解説
・穿孔が小さいものでは数週間で自然に閉じる場合もありますが、それまで正常であった耳が突然に難聴になるので、患者さんはたいそう不便を感じます。
・そのため、当科ではなるべく早く応急処置を行い、人工鼓膜で穴をふさぎます。
・鼓膜穿孔閉鎖処置後は洗髪などで耳にシャンプーなどが入らないように注意をします。
・水泳や飛行機搭乗などは鼓膜が完全にふさがるまではしない方が良いでしょう。
治療法と注意点
・90%は外来での保存的な治療で1ヶ月以内に穿孔が閉鎖しますが、穴が大きなもの、もともと鼓膜が薄いもの、感染を起こして中耳炎を併発したものでは穴が閉じません。
・その場合は鼓膜形成術(接着法)と言って、外耳道経由で自分の皮下組織を鼓膜穿孔部に自家移植して穴をふさぐ手術をします。日帰りまたは1泊の手術で対応が可能です。
・外傷の程度が強く、耳小骨の損傷を伴う場合は耳小骨連鎖の再建手術も必要となります。
関連疾患(細目)
鼓膜穿孔症
鼓膜穿孔閉鎖術
鼓膜形成術